Site en maintenance : certaines pages peuvent ne pas fonctionner correctement.
Site en maintenance : certaines pages peuvent ne pas fonctionner correctement.
Notre centre dentaire propose des soins de dentisterie esthétique et fonctionnelle modernes permettant de répondre à vos demandes.
Le blanchiment est une des méthodes les plus populaires pour redonner de l’éclat à votre sourire. Le blanchiment peut constituer un bon début pour celles et ceux qui souhaitent obtenir un résultat visible et rapide. Avec le temps, les dents s’assombrissent et deviennent plus ternes. La consommation excessive de thé, de café, de tabac, la pollution et les colorants alimentaires y contribuent. Il est alors possible de les éclaircir par un traitement chimique utilisant un gel de peroxyde d’hydrogène : le blanchiment. Il faut toutefois vérifier l’absence de contre-indications, car ce traitement ne se conçoit que sur une gencive et sur des dents saines. Avant votre blanchiment ZOOM, un examen dentaire complet doit être effectué par un dentiste de Mon Dentiste Trois-Rivières.
Nous offrons le traitement en blanchiment Zoom!, un traitement «au fauteuil» complété en un rendez-vous. Ce traitement est sans danger, d’ailleurs on considère ce type de traitement en blanchiment assisté par un professionnel de la santé comme un des traitements les plus sécuritaires en blanchiment à ce jour. Le traitement Zoom! offre des résultats immédiats. Il consiste à la pose de gel de peroxyde d’hydrogène sur les dents et à l’exposition de celles-ci à une lumière qui accélère le traitement. Le tout en douceur et supervisé par un membre attentionné de notre équipe !
Le CEREC 3D est une innovation qui a complètement révolutionné le monde de la restauration dentaire. Grâce à ce procédé, nous sommes en mesure de regrouper les 3 étapes de la restauration en 1 seul rendez-vous chez le dentiste.
Les restaurations céramiques cimentées (CEREC) garantissent à 100 % la résistance et la durabilité de la dent naturelle. Fini les empreintes, les temporaires et les délais de laboratoire.

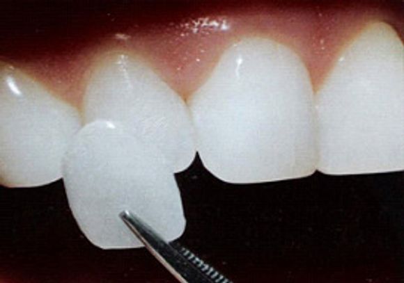
Les facettes sont de petites pièces minces de porcelaine résistante qui peuvent complètement transformer vos dents et votre sourire. Elles peuvent souvent être une alternative aux couronnes et elles constituent la solution idéale pour le traitement de nombreuses affections dentaires. Elles sont très durables et seront en place durant de nombreuses années, vous donnant un beau sourire durable.
Mon Dentiste Trois-Rivières
4050 Boulevard Des Forges, Trois-Rivières, Quebec G8Y 1V7, Canada
Personne responsable au niveau de la loi 25
Laurie Cormier — gestionaire@mondentistetr.com
Gestionnaire